疑难病例

当前位置: 首页 > 疑难病例 > 正文

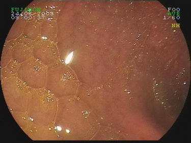
入院后检查—胃镜

发布时间:2009-12-29    点击数:

2009.6.24胃镜:

慢性浅表性胃炎,十二指肠淤滞症原因待查,肠系膜上动脉压迫综合症?(胃内可见胆汁样物反流,十二指肠球扩张,降部明显扩张,水平部远端似可见狭窄,持续充气肠腔不能打开。)

分享

地址:北京海淀区花园北路49号    邮编:100191

联系电话:010-82266699     E-mail:bysy@bjmu.edu.cn

Copyright © 2022 北京大学第三医院    京ICP备05082115号-2