科室特色

当前位置: 首页 > 科室特色 > 正文

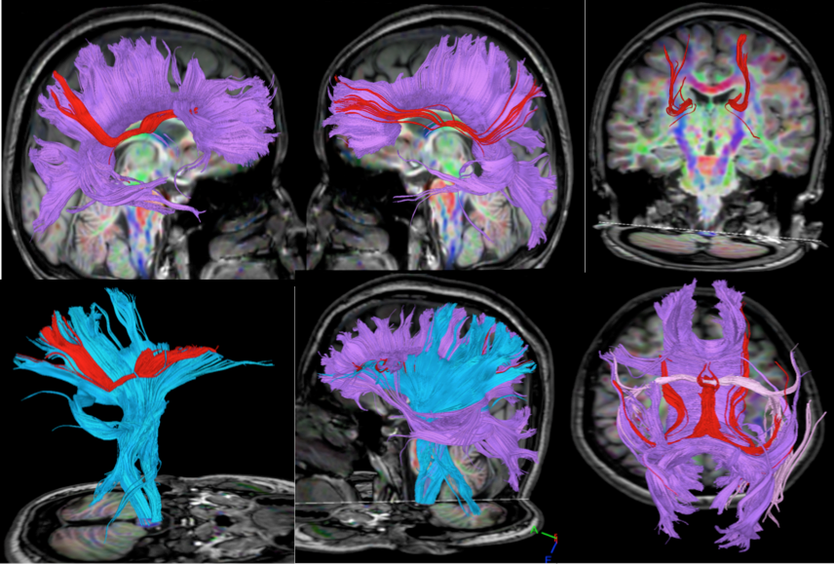
神经系统疾病的DTI功能评估

发布时间:2020-06-26    点击数:

神经系统疾病的DTI评估

神经系统疾病的DTI评估

神经系统疾病的DT功能I评估

分享

地址:北京海淀区花园北路49号  邮编:100191
联系电话:010-82266699  E-mail:bysy@bjmu.edu.cn

Copyright © 2022 北京大学第三医院    京ICP备05082115号-2