胫骨平台骨折是一种常见的膝关节内骨折,常常累及胫骨关节面,占所有骨折的1%,老年人骨折的8%。其损伤机制主要为交通伤,如摩托车伤等,多属于高能量损伤,加之胫骨平台本身的解剖特点,主要由干骺端的松质骨构成,并且临近膝关节周围的交叉韧带、半月板和侧副韧带等结构,故此种骨折的复杂程度一般比较高,这也就给它的治疗带来了相当的困难。除了一小部分低能量损伤的老年患者以外,大多数患者均需要接受以复位固定为目的的手术治疗。诚然,骨折的手术治疗不是终点,术后的功能锻炼也应被提到相当重要的位置,如何在最短的时间内帮助患者恢复最大的功能,最大限度地提高其生活质量,就成了我们康复工作者不懈追求和努力的目标。
虽然骨折内外固定技术不断改进完善,但是由于上述胫骨平台骨折的特点,胫骨平台骨折术后的康复尤其是患肢的负重训练,目前无论是在理论上还是实践中都还存在很多问题,各家之间存在着很大的分歧,因为过早负重会导致关节面塌陷,而力学刺激又是促进骨折愈合的非常重要的因素,面对这样一对无法回避的矛盾,医务工作者陷入了两难的境地,更多的人选择退而求其次,国内外多数临床医师采取延迟负重以保证骨折的愈合,防止关节面的塌陷。也有少数医师开始早期负重的研究,但是没有考虑患者的个体因素,早期负重的定量尚缺乏严格的科学依据。
对胫骨平台骨折手术后临床采取“延迟负重”,不仅会影响骨折的愈合,还会带来一系列诸如关节僵直、肌肉萎缩、骨质疏松等并发症。因为根据Wolff定律,骨结构可以随其所处应力环境的改变而发生变化,即在应力的作用下骨生长加强,无应力作用骨就会被吸收,骨痂的生长也是符合Wolff定律的。同样,力学刺激对于关节内软骨的正常代谢和损伤修复也很重要,早期负重及运动治疗对关节面软骨的愈合及平整有重要影响,关节缺乏运动则血供减少,由毛细血管带来的营养物质及氧不能通过弥散作用供给软骨,同时软骨的代谢产物也不能通过运动挤压排出而进入滑液。控制肢体的负重状态是临床上常用的一种改变骨折部位应力环境的方法,为了促进骨折的早期负重训练,我们想到了应用气压减重训练仪,因为它能够进行精确定量的减重负重训练。
减重训练的临床应用可以追溯到1958年,Margaret 等出版了专著“康复治疗中的悬吊疗法”。但是由于方法的局限和认识不足,没有得到发展。将减重训练用于神经瘫痪患者的新热潮始于加拿大学者Visintin 等1989 年的报道,他们发现痉挛性瘫痪者进行40 %减重活动平板训练6 周后,平衡功能、步行速度和步行耐力均显著高于常规训练组;随访3 个月时训练组的步行速度和运动恢复得分进一步提高。随后减重训练仪被许多专家学者作为最有效的脑卒中步态训练技术,以期达到合理的肌肉激活、和谐的肌肉收缩时相、足够的承重能力和耐力的治疗目标。据Trueblood、Harras-love、Sullivan等研究,减重训练所包含的大量重复运动可看作是一种强制性使用,如跑台传送带不断转动迫使实验对象不停迈步,从而使其下肢运动功能得到强化,如果这种强制训练达到一定时间、频率和强度后,可预防机体发生废用性功能障碍,提高训练疗效。
减重训练仪应用于脊髓损伤患者,Dobkin 等认为交互步态促进下肢感觉反馈,通过脊髓中枢模式激动源机制产生节律性屈肌和伸肌的电活动。感觉反馈、活动平板速度、关节负荷和髋关节位置均可改变肌电的振幅和时间,因此减重训练是完全和不完全性脊髓损伤康复有效的针对性训练方法,它对于脊髓损伤步行能力改善的效果优于传统方法。
1996年Mangione KK使用减重训练仪治疗骨性关节炎, 包括4 例男性和23 例女性,平均年龄68 岁,病史超过12 年,减重0 %、20 %或40 %。研究发现减重20 %和40 %时运动时间延长,但对减轻疼痛无作用。Hesse 等研究19 例髋关节置换术后患者,在15 %减重的条件下进行步态评估,发现患者在活动平板运动和持拐步行时,步频降低,步幅加大,手术侧髋关节外展能力提高,步行对称性改善。但是把它应用于骨折术后的负重训练还未见报道。
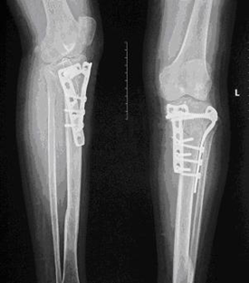
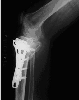
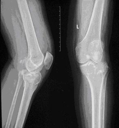
为了防止对胫骨平台骨折手术后延迟负重导致的骨折延迟愈合、关节僵直、肌肉萎缩、骨质疏松等并发症。我们在临床应用气压减重训练仪,采取早期个性化定量的减重负重训练治疗累及关节面的胫骨平台骨折。通过治疗取得良好疗效,患者的骨折愈合良好而没有出现关节面的塌陷,关节功能恢复正常(图1-3)。

图1.一例左膝胫骨平台骨折 图2.内固定术后的X线片表现
