2025年6月3日,北京大学第三医院骨科/关节外科田华主任团队,为一例膝关节置换术后无菌性松动的患者,在手术机器人系统辅助下,使用3D打印生物型假体,进行了膝关节置换翻修术。手术过程顺利,患者术后恢复良好。据检索,此术式为国际首例,也是首次临床应用国产手术机器人进行关节置换翻修术。

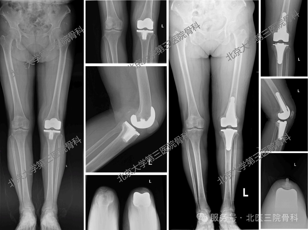
术前影像与术后影像
本次手术使用的3D打印生物型膝关节置换翻修假体系统,融合了3D打印钴铬钼合金、3D打印钛合金等金属增材制造技术,根据患者影像学数据进行了个性化定制,在干骺端区域有良好的稳定性,且操作简单,实现了生物型固定(髌骨假体除外),具有良好的骨长入性能和远期稳定性。

3D打印生物型膝关节置换翻修假体系统
团队术前在机器人系统三维建模,直观了解患者的骨质情况,确定了合适的术前计划。同时,机器人系统支持术者在术前与术中灵活调整规划方案,使力学对线更为精准,软组织更为平衡。术中机器人系统实现了带假体和去假体两种模式下的精准注册配准,并辅助完成了引导截骨、假体植入、力线对齐、间隙平衡等多个关键步骤,保证了手术操作的精准可控,标志着手术机器人技术在复杂翻修领域实现了关键突破。

术前规划界面

机器人系统辅助完成截骨

机器人系统引导下植入假体
本项目受北京市科学技术委员会医药创新品种及平台培育项目资助(资助金额2000万元人民币),由北京大学第三医院骨科/关节外科牵头,携手北京爱康宜诚医疗器材有限公司和北京壹点灵动科技有限公司等头部企业,医工结合,产学联动,将膝关节置换翻修术化繁为简,从依赖“经验性”,持续向数字化、可视化和智能化不断迈进,也将惠及更多的膝关节患者。