两种疾病在脑部分子代谢水平的改变截然不同,AD的标志性病理学改变是脑内的淀粉样蛋白沉积和神经元纤维缠结,包括β-淀粉样物质沉积,以及tau蛋白聚集。PD的主要病理改变是其病理特征为中脑黑质多巴胺能神经元进行性退变,导致脑内多巴胺分泌减少,进而引发一系列临床症状。
北大医院核医学科采用特异性示踪剂,通过PET显像技术检测脑内β-淀粉样蛋白、Tau蛋白沉积。该技术可提前15-20年发现AD的病理改变,显著优于传统认知评估方法,成为早期诊断的“金标准”。通过多巴胺能神经元显像(FDOPA),评估黑质-纹状体通路功能损伤,显示PD患者脑部的病理改变。特异性脑显像不仅能鉴别疾病类型,还可量化病理程度,指导个性化治疗。例如,阿尔茨海默病患者若显像阳性,可优先选择抗Aβ单抗治疗;帕金森病患者通过多巴胺显像明确神经元损失程度,有助于调整药物或评估手术适应症。

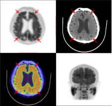
张大爷Aβ脑PET显像呈典型AD表现:皮质灰质放射性示踪剂摄取,从白质延伸至皮质带,致使灰白质分界模糊
刘阿姨脑多巴代谢显像呈典型PD表现:双侧尾状核及壳核多巴胺能神经末梢分布减低,以右侧壳核后部更显著